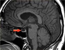
При различных эндокринных патологиях важно провести МРТ гипофиза, который покажет возможные структурные изменения органа. Проверка на различные новообразования проводится дополнительно с помощью МРТ гипофиза с контрастом. Это позволяет детально и во всех подробностях изучить структуру возможных опухолей, их размеры и расположение.
Пациенты клиники могут рассчитывать на самый высокий уровень диагностики, качество снимков и сервис. Цену исследования нужно уточнять у наших администраторов по номеру телефона 8 (800) 333-40-66 (звонок бесплатный). Они подробно расскажут сколько стоит услуга в конкретном случае, а также дадут советы по подготовке к исследованию.
Противопоказания для проведения МРТ:
- Кардиостимулятор.
- Встроенные слуховые аппараты.
- Металлические магнитящиеся импланты и предметы в теле.
- Инсулиновая помпа.
- Брекеты (только при исследовании головы).
- Вес пациента:
- Более 115 кг — для МРТ закрытого типа.
- Более 140 кг — для МРТ открытого типа.
- Окружность тела:
- Более 120 см — для МРТ закрытого типа.
- Более 160 см — для МРТ открытого типа.
- Обширные татуировки (особенно с использованием металлических красителей).
- Клаустрофобия (в некоторых случаях мы рекомендуем проведение МРТ открытого типа в нашем центре).
- Сосудистые клипсы и стенты:
- В течение первых 6-8 недель после установки.
- Установленные до 2010 года (проверяется совместимость на основании медицинской документации).
- Беременность (I триместр — относительное противопоказание).
- Тяжёлое состояние пациента, требующее реанимационных мероприятий.
Перед проведением исследования необходимо проконсультироваться с врачом и предоставить всю необходимую медицинскую документацию.
Подготовка к МРТ-исследованию:
Специальная подготовка к исследованию не требуется.
Перед началом процедуры необходимо:
- Снять металлические украшения.
- Снять съемные зубные протезы (если имеются).
- При наличии макияжа удалить его перед обследованием.
В нашем центре предоставляются все необходимые средства для демакияжа, которые вы можете использовать перед процедурой.
Уведомить врача о наличии имплантатов или других факторов, которые могут быть противопоказаниями.
Что взять с собой на МРТ:
- Паспорт, предыдущие исследования данной области, рекомендации, направление, документ, подтверждающий льготы (ветеран ВОВ, ветеран труда, инвалид 1-2 групп, мед. работник, пенсионер, почетный донор).
- При наличии в теле имплантов (кроме зубных), стентов, клипс и других инородных медицинских предметов необходимы документы об операции.
